
Drug Influenced Gingiva Overgrowth Management
November 26, 2025
All On 6 Management
November 26, 2025Management of Failed Implants


Before Treatment
After Treatment
Background
A 62 year old gentleman presented to our clinic with complaints of pain, swelling, and a persistent foul odour originating from the lower left quadrant.
History of Presenting Illness
- The patient reported having several dental implants placed in the affected region approximately 6–7 years ago.
- Recently, two implants and one tooth were removed by his previous dentist, followed by a bone grafting procedure.
- Despite the treatment, the swelling and discomfort in the area failed to subside and had progressively worsened over the past few days.
Fig 1: Previous Radiograph of the 3 implants placed
Fig 2: Pus from the implant site
Fig 3: Radiograph indicating bone graft around the implant on 35 and socket of tooth 34
A previous radiograph provided by the patient showed that all 3 of the previously placed implants had bone loss around them (Fig 1).
Fig 4: Surgical removal of the failed implant
Fig 5: 6 months review after new implant placement
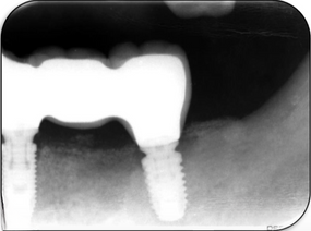
Fig 6: Radiograph at the 2 years review
After 2 months of non-surgical treatment and monitoring, the infection showed improvement but did not fully resolve.
A decision was made to surgically remove the failed implant ( Figure 5) and debride the infected area. The patient initially considered whether to replace the missing teeth with implants.
Following 3 months of healing, the patient opted for implant replacement. Two new implants were placed at sites 34 and 36, avoiding the bony defect from the previously removed 35. Guided bone regeneration was performed to address bone deficiencies and ensure long-term stability.
Three months later, an implant-supported bridge was constructed by our prosthodontist, with ongoing 6-month reviews (Fig 5). Radiographs at the 2-year review confirmed stable bone levels around the implants (Fig 6).







