
Complex Endodontic Management
November 26, 2025
Management of Failed Implants
November 26, 2025Drug Influenced Gingiva Overgrowth Management
Case Background
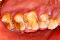
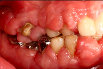
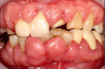
A 65-year-old female on antihypertensives and immunosuppressants presented with severe gum swelling, inability to chew, and difficulty maintaining oral hygiene. This led to multiple decayed and periodontally compromised teeth, worsening her overall condition.
Drug-Induced Gingival Overgrowth (DIGO): A Clinical Challenge
Drug-influenced gingival overgrowth or ‘DIGO’ in short, manifests as abnormal swelling of the gingiva.
- The condition is usually caused by adverse reactions to certain drugs such as antihypertensives, anticonvulsants or immunosuppressants.
- As the gum tissues become significantly larger, it may impede normal masticatory function, daily oral hygiene, and aesthetics, severely diminishing one’s quality of life. (Sabarudin et al. 2022)
Before Treatment
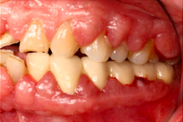
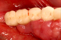
Review in 2 years
Management:
- Non-surgical periodontal therapy was performed to reduce gingival inflammation and swelling
- Surgical removal of excessive gum tissues and extraction of multiple poor prognosis teeth were carried out as well
- She was kept under strict follow up and advised to comply with meticulous oral hygiene measures throughout treatment
+ RELATABLE ARTICLES
April 14, 2026
April 14, 2026
November 26, 2025
A 65-year-old female on antihypertensives and immunosuppressants presented with severe gum swelling, inability to chew, and difficulty maintaining oral hygiene. This led to multiple decayed […]




















